
Liepājas Reģionālās slimnīcas (LRS) Angiogrāfijas nodaļā ir ieviesusi jaunu un augstas precizitātes ārstēšanas metodi – rotoblācijas angioplastiju, lai veiktu sarežģītu, smagi sašaurināto un kalcinēto sirds asinsvadu atvēršanas un asins plūsmas atjaunošanas operācijas. Šī tehnoloģija, kas līdz šim LRS netika pielietota, apvieno invazīvo kardioloģiju ar modernu aprīkojumu, nodrošinot pacientiem efektīvāku un drošāku ārstēšanu, portālu “ReKurZeme” informē Liepājas reģionālās slimnīcas sabiedrisko attiecību speciāliste Indra Grase.
Rotoblācijas angioplastija – risinājums kalcinētiem bojājumiem
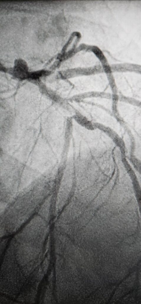
Rotoblācijas angioplastija ir paredzēta pacientiem ar smagiem pārkaļķotiem sirds asinsvadu bojājumiem, kad tradicionālās ārstēšanas metodes vairs nav pietiekami efektīvas vai drošas. LRS invazīvie kardiologi Nikolajs Sorokins un Valters Stirna skaidro, ka aterosklerozes process bieži noved pie asinsvadu sieniņu pārkaļķošanās, veidojot cietus kā “mūris” kalcija sāļu “stalaktītus”. Šādos gadījumos ar balonu paplašināšana ir neiespējama vai bīstama.

Rotoblācijas metodes princips ir mehāniski noārdīt šos cietos kalcija nogulsnējumus. Artērijā tiek ievadīts speciāls urbis, kas, griežoties ar lielu ātrumu, izveido “tuneli”, atbrīvojot asinsvadu. Pēc cietā slāņa noņemšanas un asinsvada elastīguma atjaunošanas, procedūru var turpināt ar balona paplašināšanu, bieži vien kombinējot ar ultraskaņas litotripsiju (kalcija šķelšanu ar ultraskaņu), un stenta implantāciju.
Priekšrocības un ieguvumi
Galvenā rotoblācijas priekšrocība ir spēja efektīvi sagatavot artēriju stenta implantācijai, kas samazina komplikāciju risku un novērš asinsvada atkārtotu sašaurināšanos ilgtermiņā.
“Tas ir tas lielākais ieguvums, ka gada griezumā mums nevajadzēs vēlreiz veikt šo procedūru. Jo veiksmīgāk mēs implantēsim stentu, jo veiksmīgāk pacients dzīvos tālāk, jo visiem būs labāk – gan sabiedrībai, gan mediķiem, gan pacientiem,” norāda speciālisti.

Šī procedūra ir īpaši nepieciešama gados vecākiem pacientiem, kā arī tiem, kuriem ir ilgstoša sirds asinsvadu slimība, smēķētājiem, nieru mazspējas vai cukura diabēta slimniekiem – riska grupām, kurām raksturīga paātrināta kalcija uzkrāšanās artēriju sieniņās.
Pieejamība Liepājas Reģionālajā slimnīcā
Metodes ieviešana ļauj Liepājas Reģionālajai slimnīcai kļūt par vienu no retajām ārstniecības iestādēm ārpus galvaspilsētas, kas piedāvā šādu specifisku ārstēšanu. Agrāk pacienti ar šādiem sarežģītiem bojājumiem tika nosūtīti uz Rīgas slimnīcām.
“Tagad mums šī tehnoloģija ir, un pacientus varam ārstēt Liepājā, bez rindas un garā ceļa uz galvaspilsētu,” uzsver kardiologi.
Procedūras ieviešana notika, pateicoties slimnīcas valdes atbalstam, kā arī Angiogrāfijas nodaļas māsas Evas Strautiņas un kolēģu entuziasmam. Īpaša pateicība tiek izteikta arī uzņēmumiem “Ilsanta Latvija” (Zane Soroka) un “Boston Scientific” (inženieris Jörgens Österlinds) par aparatūras nodrošināšanu un personāla apmācību.
Saņemšana un apmaksa
Rotoblācijas angioplastija ir valsts apmaksāta procedūra (pacientam jāsedz pacienta līdzmaksājums). Lai to saņemtu, invazīvais kardiologs izvērtē bojājuma nopietnību un nosaka piemērotāko ārstēšanas metodi vai metožu kombināciju.
Rotoblācijas angioplastijas uzsākšana Liepājas Reģionālajā slimnīcā ir nozīmīgs solis reģionālās veselības aprūpes attīstībā, nodrošinot augstas precizitātes ārstēšanu tuvāk mājām.
Publicitātes foto